FAMILY
Lip Tie Bayi: Potongan Jaringan Segitiga Menghubungkan Bibir Atas dengan Gusi
Yatin Suleha
Rabu 26 November 2025 / 20:15
Jakarta: Jika kamu khawatir bayi kamu memiliki lip tie, kamu tidak sendirian. Semakin banyak orang tua yang menyadari adanya tongue tie dan lip tie saat ini, sering bertanya-tanya apakah hal itu dapat menyebabkan masalah saat menyusui.
Banyak orang tua merasa cemas karena melihat informasi di media sosial atau mendengar cerita dari teman, yang membuat mereka memeriksa mulut bayi dengan teliti.
Namun, para ahli menekankan bahwa tidak semua variasi anatomi mulut perlu dikhawatirkan, dan sering kali masalah menyusui lebih terkait dengan teknik daripada struktur fisik.
“Sebagian besar ibu yang saya temui bertanya tentang bentuk lidah bayi mereka,” kata Kate Shand, konsultan laktasi bersertifikat internasional.
Faktanya, bahkan jika bayi baru lahir kamu memiliki ikatan bibir, tidak ada bukti bahwa hal itu akan menyebabkan masalah bagi bayi kamu atau mengganggu kemampuannya untuk menyusui dengan sukses.
Para ahli menjelaskan bahwa bayi sering kali dapat beradaptasi dengan baik, dan masalah menyusui lebih sering disebabkan oleh posisi menyusui yang salah atau kurangnya latihan daripada anatomi bibir.

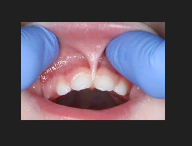
(Kondisi lip tie dapat mengganggu kemampuan bayi untuk menyusu secara efektif. Foto: Dok. Istimewa)
Lip tie atau ikatan bibir adalah frenulum bibir yang ekstra pendek atau kencang itu adalah potongan jaringan ikat berbentuk segitiga yang menghubungkan bibir atas bayi dengan gusi mereka.
Semua bayi memiliki jaringan di sana, dan definisi normal dan “terlalu kencang” secara medis belum jelas. Ikatan bibir menyusut seiring pertumbuhan bayi, seringkali memperbaiki diri sendiri saat gigi taring anak tumbuh.
Hal ini adalah proses alami yang terjadi selama bulan-bulan pertama kehidupan, di mana frenulum menjadi lebih fleksibel seiring dengan perkembangan mulut bayi.
Beberapa orang menyarankan bahwa lip tie mungkin menyebabkan masalah menyusui karena mungkin mencegah bayi menempatkan bibir atasnya dengan benar untuk mendapatkan pelekatan yang baik.
Namun, ahli medis mengatakan hal ini tidak benar. Jenny Thomas, M.D., seorang dokter anak dan spesialis kedokteran laktasi, tidak percaya lip tie memengaruhi menyusui. Dia adalah penulis utama laporan klinis American Academy of Pediatrics (AAP) tentang tongue tie dan lip tie.
“Bahkan bayi dengan bibir sumbing atau cacat besar pada bibir atas dapat menyusui jika kita dapat menciptakan segel pada payudara,” kata dr. Thomas.
Studi-studi tersebut kecil dan terbatas, tetapi mereka menyimpulkan bahwa lip tie tidak menyebabkan masalah menyusui, masalah bicara, atau kesulitan lainnya.
Penelitian ini menunjukkan bahwa bayi dengan lip tie seringkali menyusui dengan normal, dan masalah yang muncul lebih terkait dengan faktor lain seperti posisi bayi atau kesehatan ibu.
Ada enam frenulum lain di mulut bayi. Potongan jaringan lunak ini memberikan stabilitas pada bibir atas, bibir bawah, dan lidah bayi.
Frenulum bukal, misalnya, menghubungkan pipi bayi dengan gusi mereka. Frenulum lain terletak di bawah lidah bayi.
Ketika frenulum di bawah lidah terlalu kencang yang mengikat lidah bayi ke dasar mulut mereka, hal ini disebut lidah terikat atau ankyloglossia.
Ada beberapa bukti bahwa lidah terikat dapat membuat bayi sulit menempel pada payudara dan menyusui serta membuat menyusui lebih menyakitkan bagi kamu.
Namun, studi lain tidak menemukan hubungan antara ankyloglossia dan masalah menyusui yang menunjukkan bahwa diagnosis dan intervensi untuk tongue tie juga perlu dievaluasi dengan hati-hati karena tidak semua kasus memerlukan tindakan.
Secillia Nur Hafifah
Cek Berita dan Artikel yang lain di
Viral! 18 Kampus ternama memberikan beasiswa full sampai lulus untuk S1 dan S2 di Beasiswa OSC. Info lebih lengkap klik : osc.medcom.id
(TIN)
Banyak orang tua merasa cemas karena melihat informasi di media sosial atau mendengar cerita dari teman, yang membuat mereka memeriksa mulut bayi dengan teliti.
Namun, para ahli menekankan bahwa tidak semua variasi anatomi mulut perlu dikhawatirkan, dan sering kali masalah menyusui lebih terkait dengan teknik daripada struktur fisik.
“Sebagian besar ibu yang saya temui bertanya tentang bentuk lidah bayi mereka,” kata Kate Shand, konsultan laktasi bersertifikat internasional.
Faktanya, bahkan jika bayi baru lahir kamu memiliki ikatan bibir, tidak ada bukti bahwa hal itu akan menyebabkan masalah bagi bayi kamu atau mengganggu kemampuannya untuk menyusui dengan sukses.
Para ahli menjelaskan bahwa bayi sering kali dapat beradaptasi dengan baik, dan masalah menyusui lebih sering disebabkan oleh posisi menyusui yang salah atau kurangnya latihan daripada anatomi bibir.
Apa itu lip tie?

(Kondisi lip tie dapat mengganggu kemampuan bayi untuk menyusu secara efektif. Foto: Dok. Istimewa)
Lip tie atau ikatan bibir adalah frenulum bibir yang ekstra pendek atau kencang itu adalah potongan jaringan ikat berbentuk segitiga yang menghubungkan bibir atas bayi dengan gusi mereka.
Semua bayi memiliki jaringan di sana, dan definisi normal dan “terlalu kencang” secara medis belum jelas. Ikatan bibir menyusut seiring pertumbuhan bayi, seringkali memperbaiki diri sendiri saat gigi taring anak tumbuh.
Hal ini adalah proses alami yang terjadi selama bulan-bulan pertama kehidupan, di mana frenulum menjadi lebih fleksibel seiring dengan perkembangan mulut bayi.
Beberapa orang menyarankan bahwa lip tie mungkin menyebabkan masalah menyusui karena mungkin mencegah bayi menempatkan bibir atasnya dengan benar untuk mendapatkan pelekatan yang baik.
Namun, ahli medis mengatakan hal ini tidak benar. Jenny Thomas, M.D., seorang dokter anak dan spesialis kedokteran laktasi, tidak percaya lip tie memengaruhi menyusui. Dia adalah penulis utama laporan klinis American Academy of Pediatrics (AAP) tentang tongue tie dan lip tie.
“Bahkan bayi dengan bibir sumbing atau cacat besar pada bibir atas dapat menyusui jika kita dapat menciptakan segel pada payudara,” kata dr. Thomas.
Studi-studi tersebut kecil dan terbatas, tetapi mereka menyimpulkan bahwa lip tie tidak menyebabkan masalah menyusui, masalah bicara, atau kesulitan lainnya.
Penelitian ini menunjukkan bahwa bayi dengan lip tie seringkali menyusui dengan normal, dan masalah yang muncul lebih terkait dengan faktor lain seperti posisi bayi atau kesehatan ibu.
Ada enam frenulum lain di mulut bayi. Potongan jaringan lunak ini memberikan stabilitas pada bibir atas, bibir bawah, dan lidah bayi.
Frenulum bukal, misalnya, menghubungkan pipi bayi dengan gusi mereka. Frenulum lain terletak di bawah lidah bayi.
Ketika frenulum di bawah lidah terlalu kencang yang mengikat lidah bayi ke dasar mulut mereka, hal ini disebut lidah terikat atau ankyloglossia.
Ada beberapa bukti bahwa lidah terikat dapat membuat bayi sulit menempel pada payudara dan menyusui serta membuat menyusui lebih menyakitkan bagi kamu.
Namun, studi lain tidak menemukan hubungan antara ankyloglossia dan masalah menyusui yang menunjukkan bahwa diagnosis dan intervensi untuk tongue tie juga perlu dievaluasi dengan hati-hati karena tidak semua kasus memerlukan tindakan.
Secillia Nur Hafifah
Cek Berita dan Artikel yang lain di
Google News
Viral! 18 Kampus ternama memberikan beasiswa full sampai lulus untuk S1 dan S2 di Beasiswa OSC. Info lebih lengkap klik : osc.medcom.id
(TIN)